O caminho se faz é caminhando 14 abr 2026 O tempo se faz é vivendo (Tirando da cabeça o que tenho pensado durante a jornada de tirar (de novo!) algo da cabeça) Desde maio de… Felipe 3 Comments
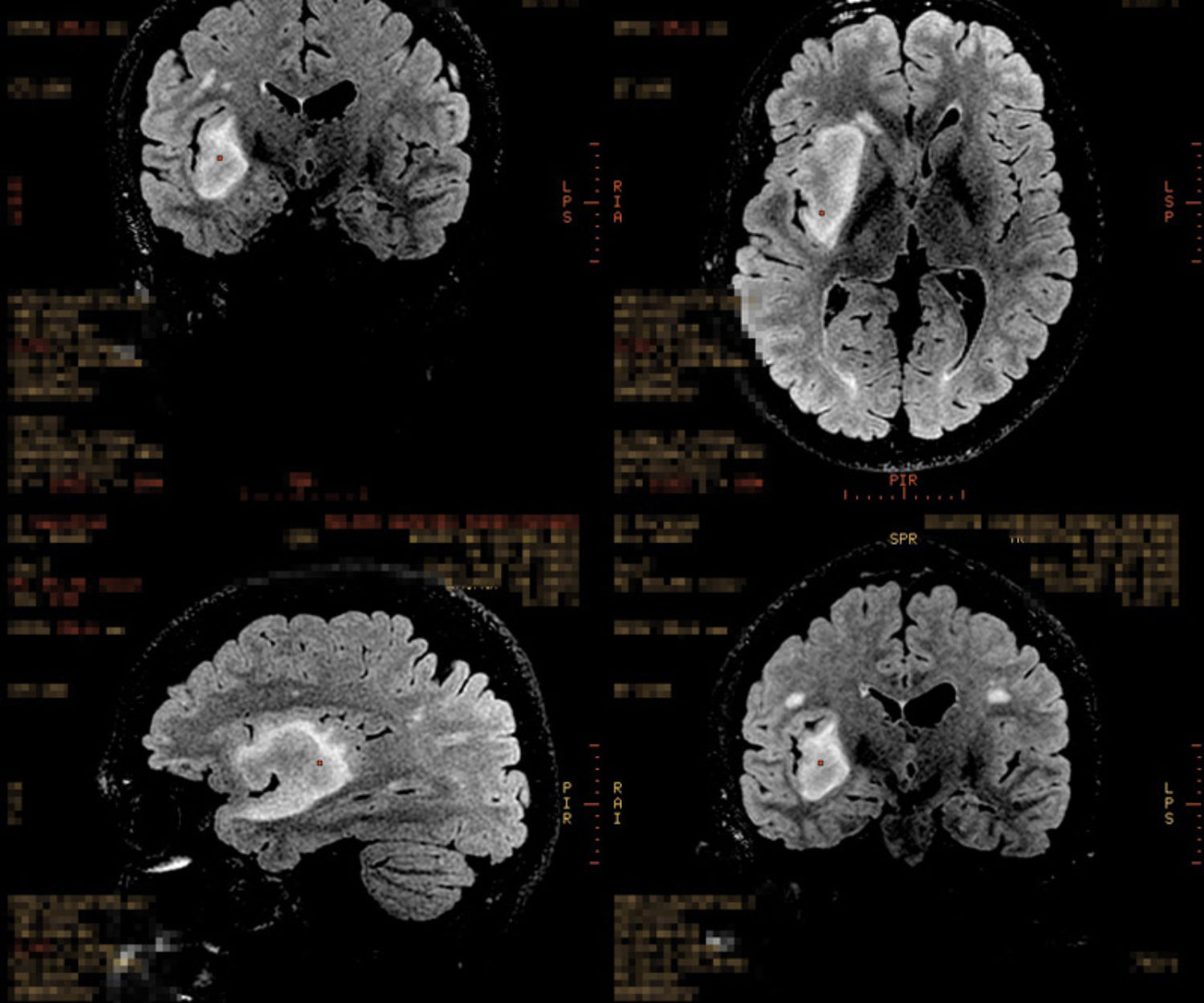
O caminho se faz é caminhando 03 maio 2025 Quatro anos Em 3 de maio de 2021, minha cabeça foi aberta para retirar um tecido tumoral de 5,5 cm x 4,4… Felipe 6 Comments
O caminho se faz é caminhando, Samuel 28 mar 2024 Viver é muito louco Samuel foi batizado no sábado, 23. Uma tarde recheada de amor e pessoas queridas. No meio do dia, lembrei que… Felipe No Comments
O caminho se faz é caminhando, Oh vida! 31 dez 2022 2022 em 1982 palavras Um emaranhado de ideias, fotos e links sobre 2022, um ano bom na soma de descobertas, avanços, bloqueios, anseios e… Felipe No Comments
O caminho se faz é caminhando 03 maio 2022 365 (O poder de uma mensagem linda no whatsapp) Ano passado, na hora em que escrevo esse post, eu acho… Felipe No Comments
O caminho se faz é caminhando 03 nov 2021 180 dias Há seis meses e nesse mesmo horário, é bem provável que minha primeira cirurgia estivesse começando. Agora, escrevo para tentar… Felipe 2 Comments
Divagações, O caminho se faz é caminhando 13 ago 2021 Pensata do aniversário Nota: Esse mundo digital e multiplataforma é meio traiçoeiro. São tantos espaços e tão pouco tempo, que muitas vezes esqueço… Felipe No Comments
O caminho se faz é caminhando 30 jul 2021 Uma atualização recente (ok, talvez nem tão recente assim. Esse conteúdo foi postado em algumas partes nas redes sociais. No meio de tantas… Felipe No Comments
O caminho se faz é caminhando 08 jul 2021 Como sempre, um dia de cada vez (Esse post pode ser considerado cringe, porque remete às coisas de outrora. Nesse caso, a espera. A foto de Lisboa… Felipe No Comments
O caminho se faz é caminhando 17 jun 2021 Alguns pensamentos sobre o medo de voltar Mais uma reflexão do que uma conclusão, mas que gostaria de compartilhar. Dia 45 pós primeira cirurgia e a recuperação… Felipe 2 Comments