O caminho se faz é caminhando

Uma descoberta que mudou a minha vida.

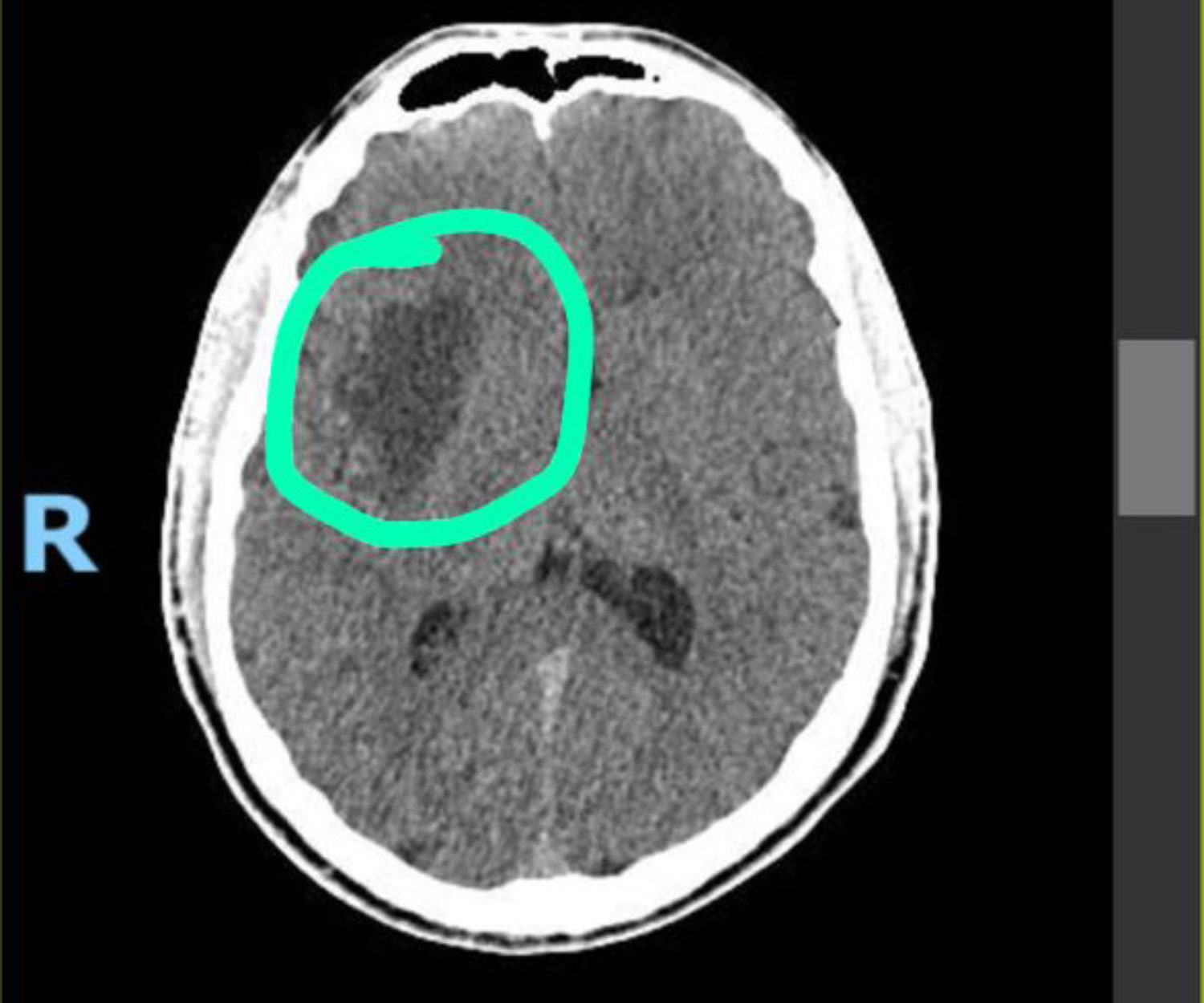
Em março de 2021, tive uma convulsão logo antes de dormir e, dias depois, fui diagnosticado com um astrocitoma de baixo grau de tamanho similar à uma bola de golfe. Fui operado em maio e faço ressonâncias de controle regularmente desde então. Nessa série de textos, registrei a descoberta, o baque, a força que recebi de amigos e família, as cirurgias e como é legal e importante ter uma rede de apoio.